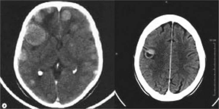
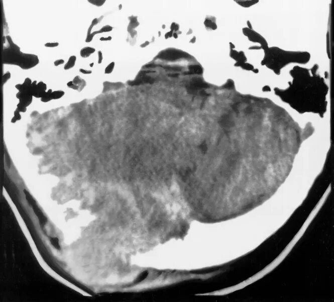
Что такое метастазы в голове