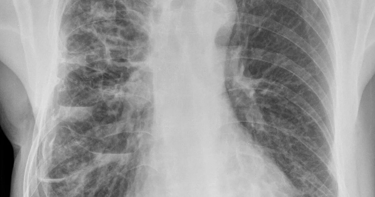
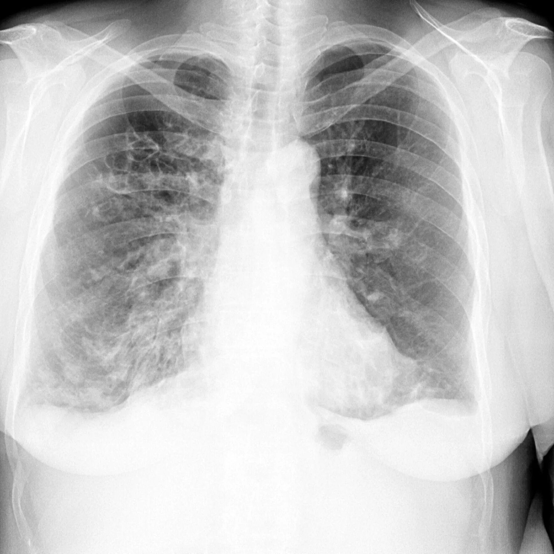
Бронхоэктазия