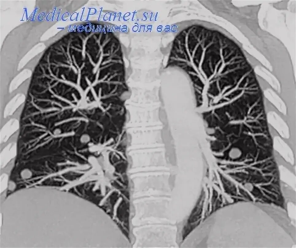
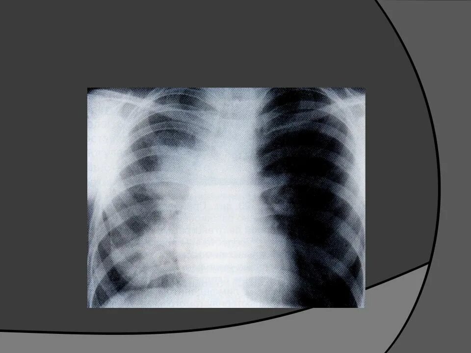
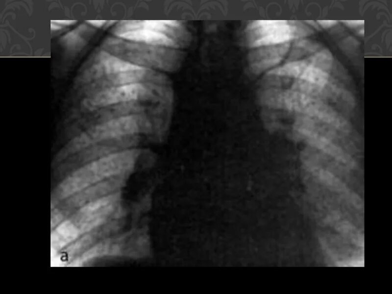
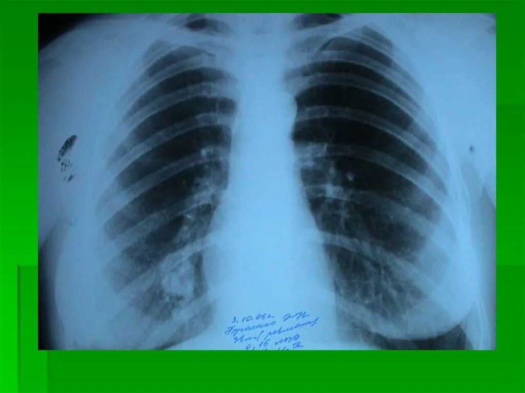
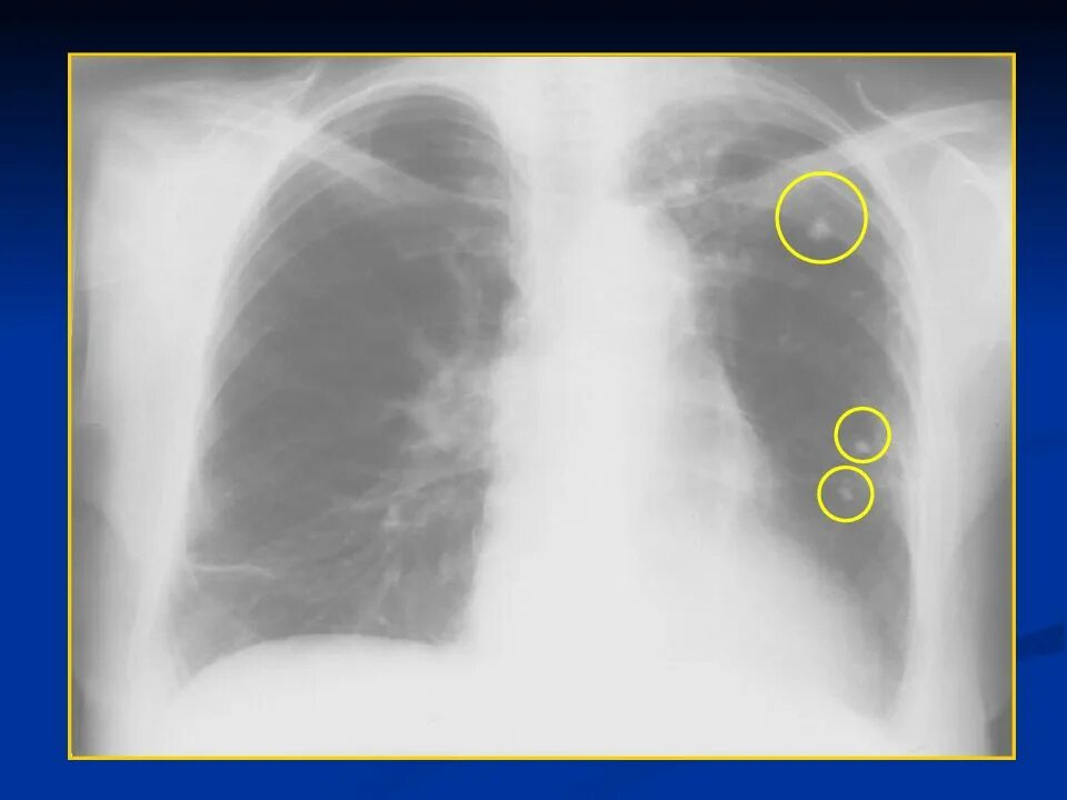
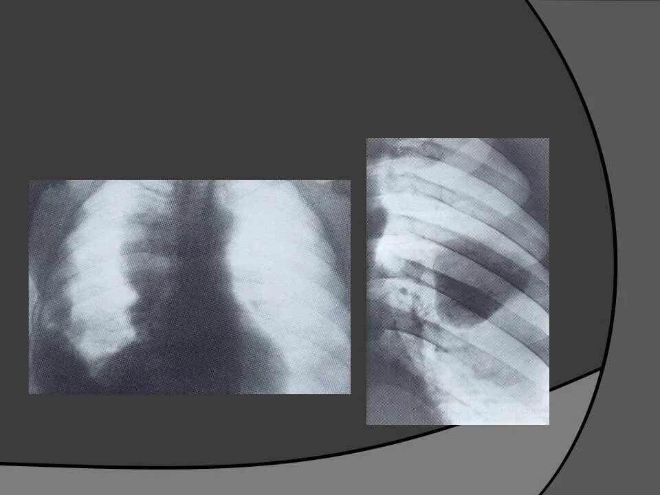
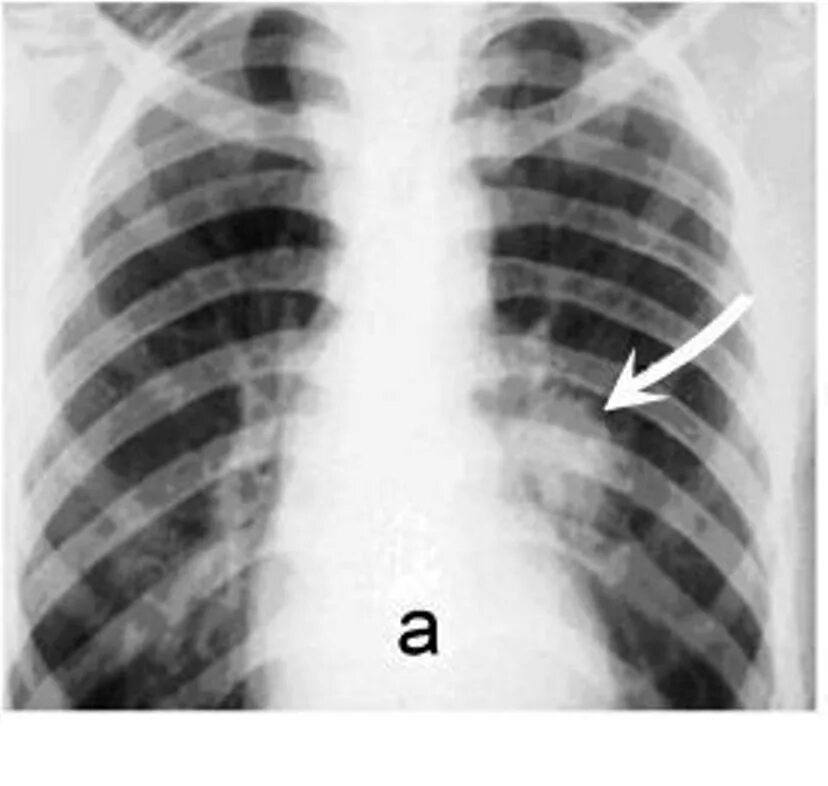
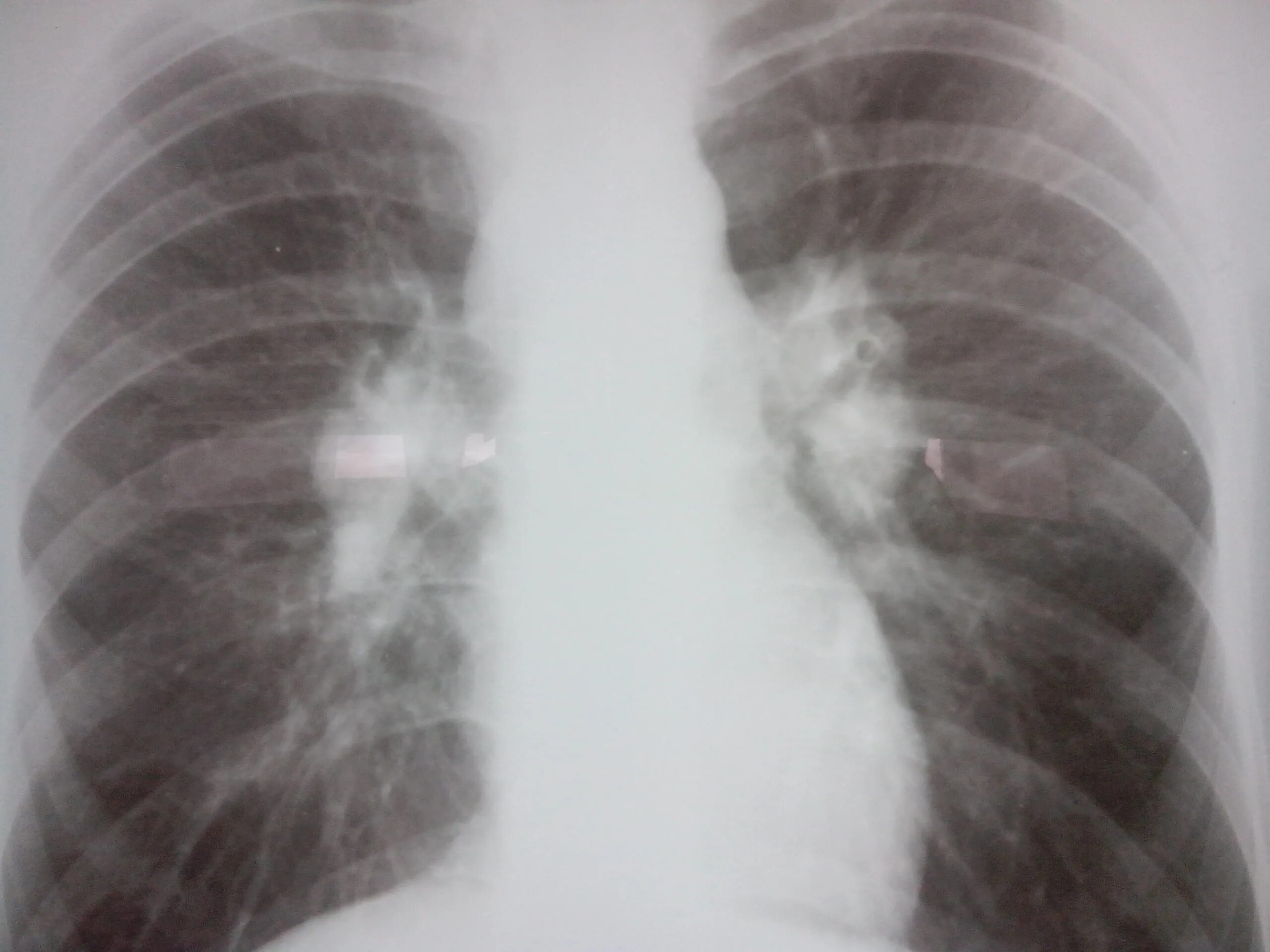
Бронхоаденит это