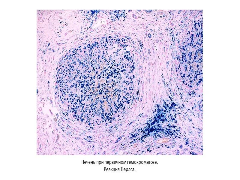
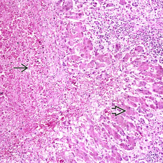
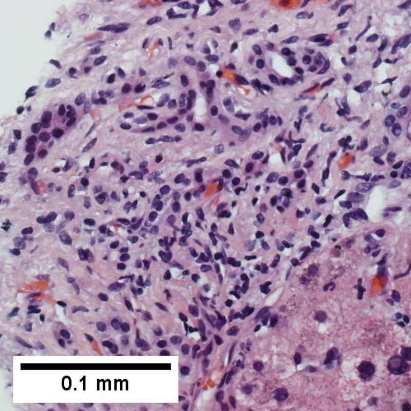
Без гемохроматозов