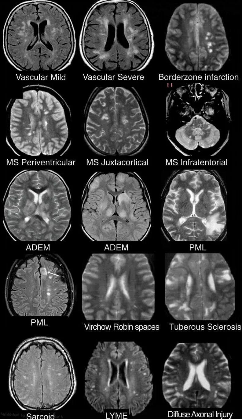
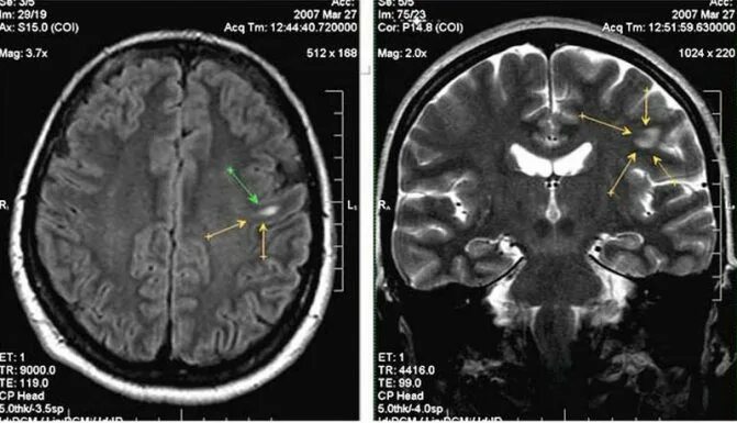
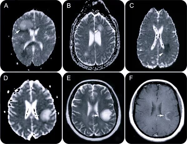
Белые очаги в головном мозге