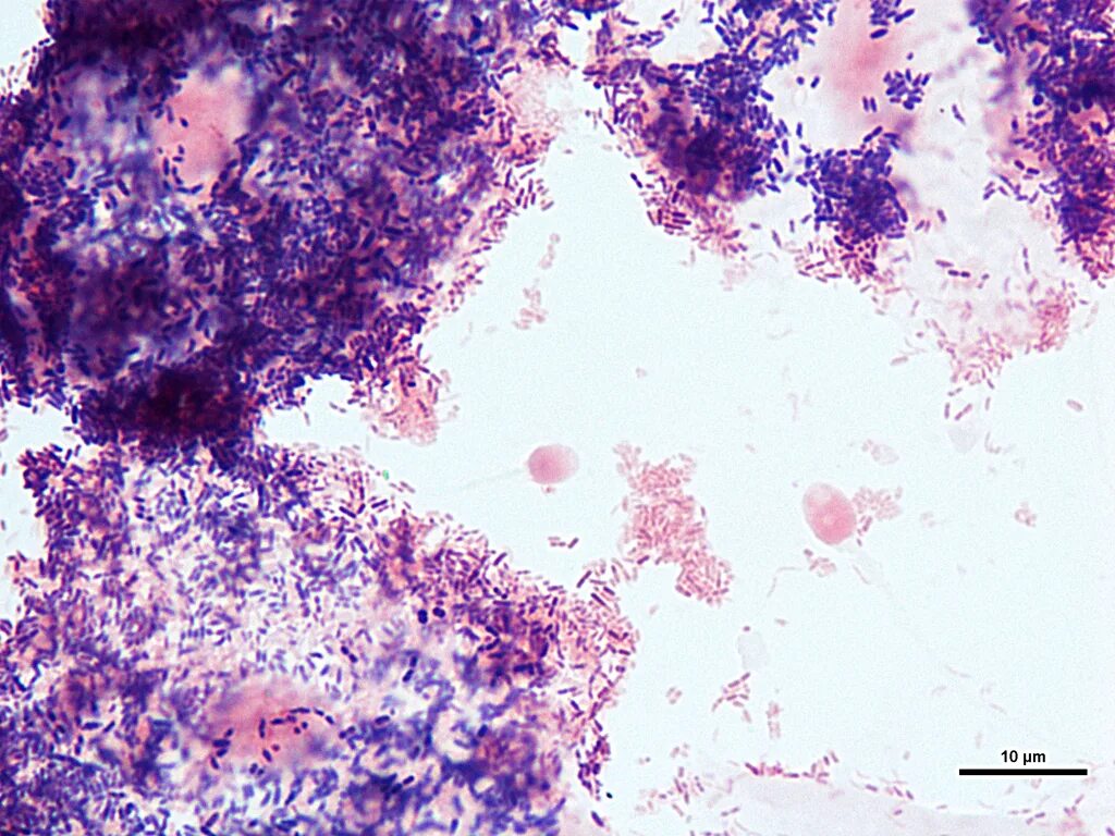
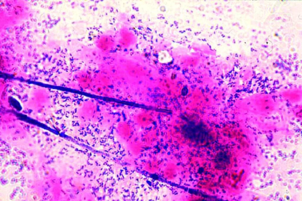
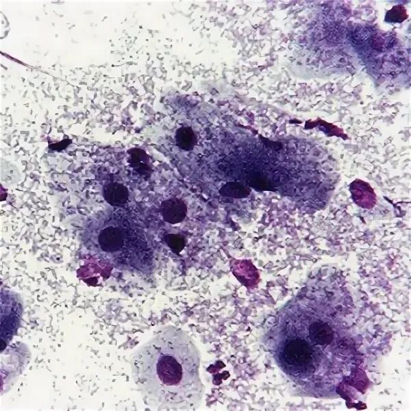
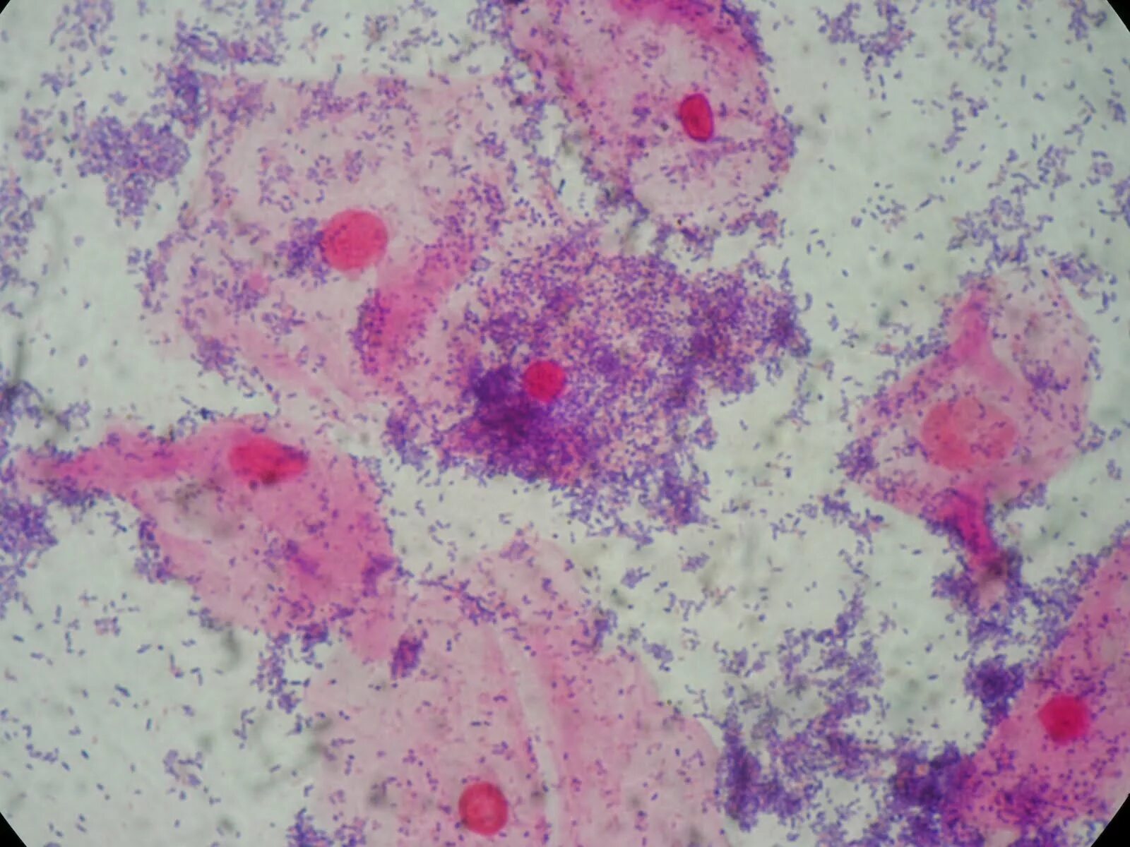
Бациллярная микрофлора