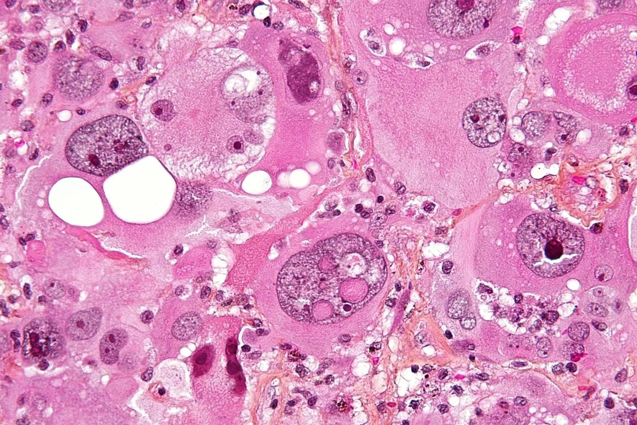
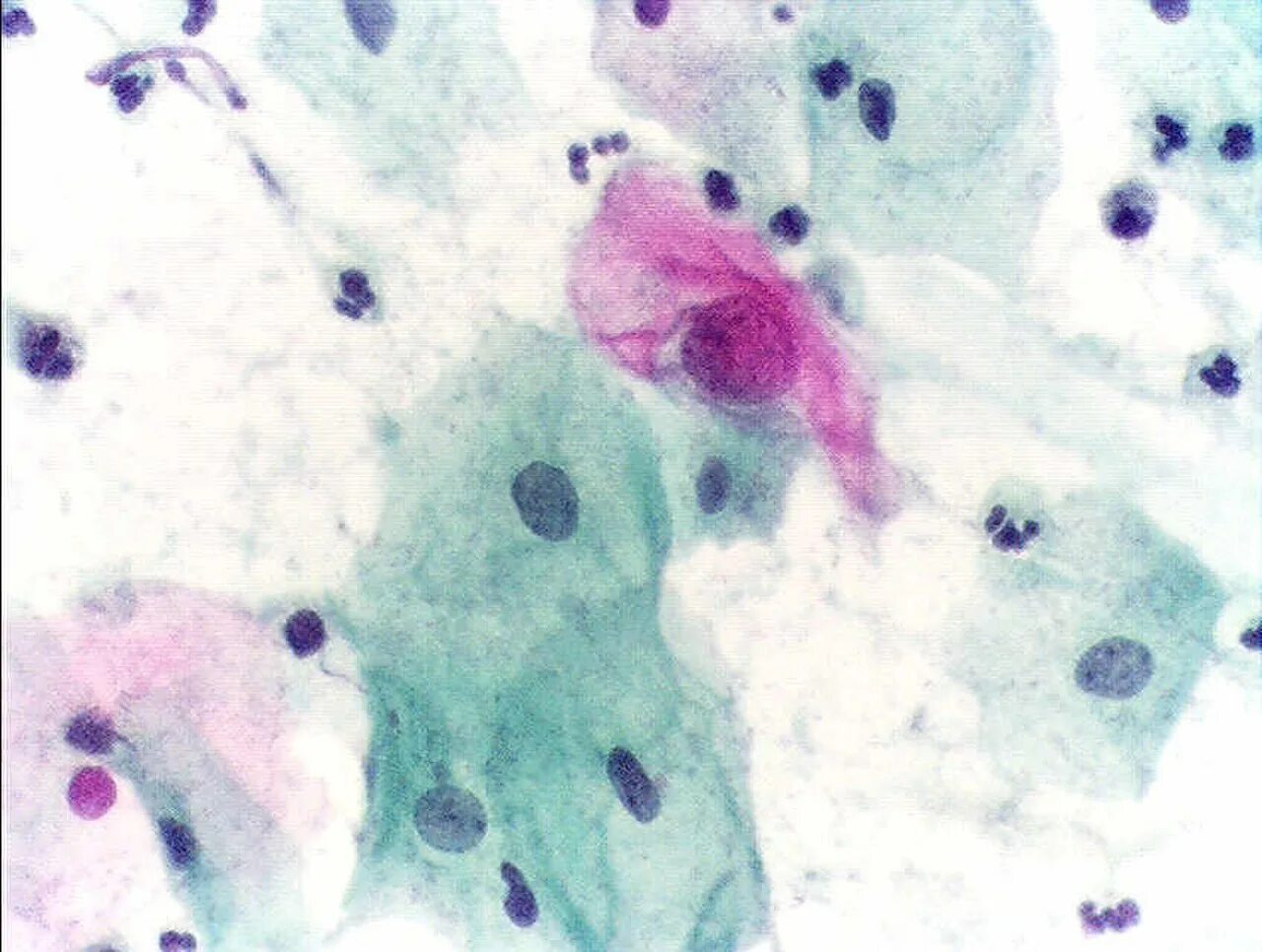
Атипия ядер клеток