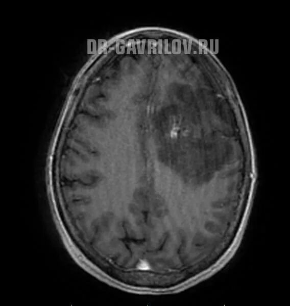
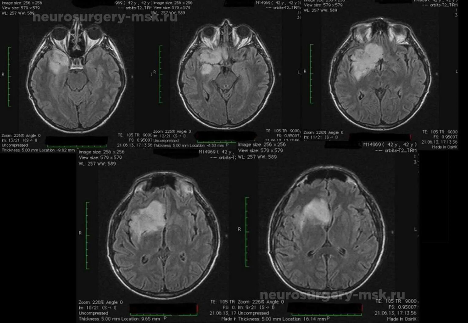
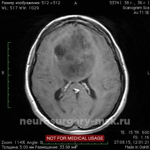
Астроцитома головного мозга прогноз после операции