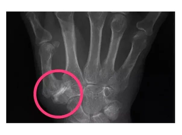
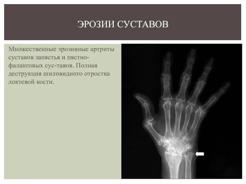
Артроз запястно пястного сустава