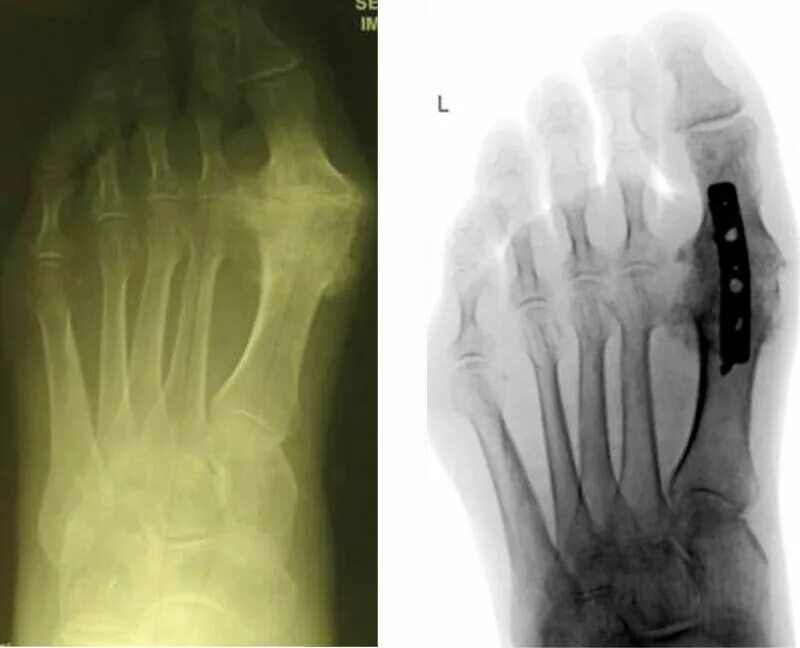
Артроз плюснефалангового сустава стопы