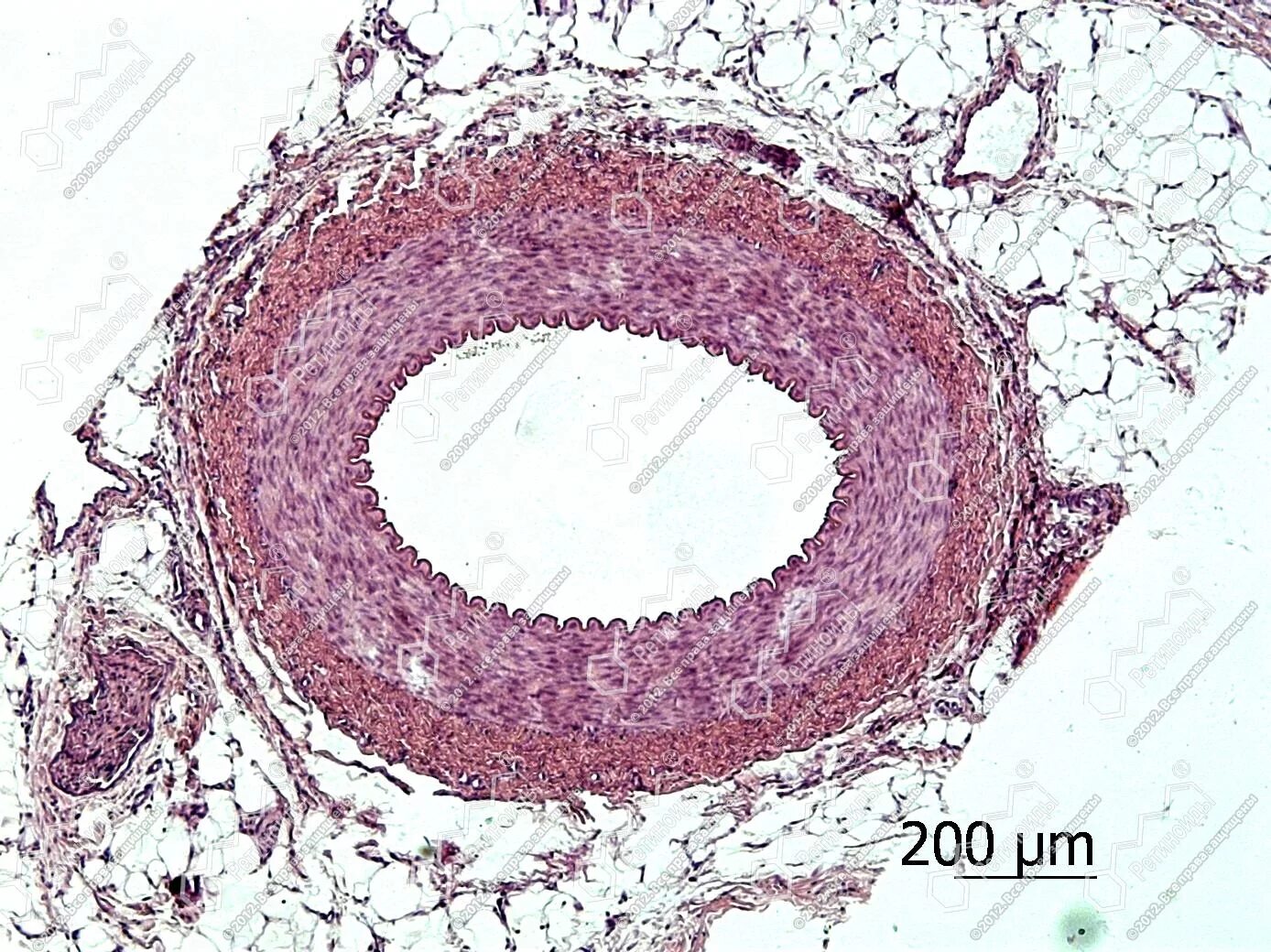
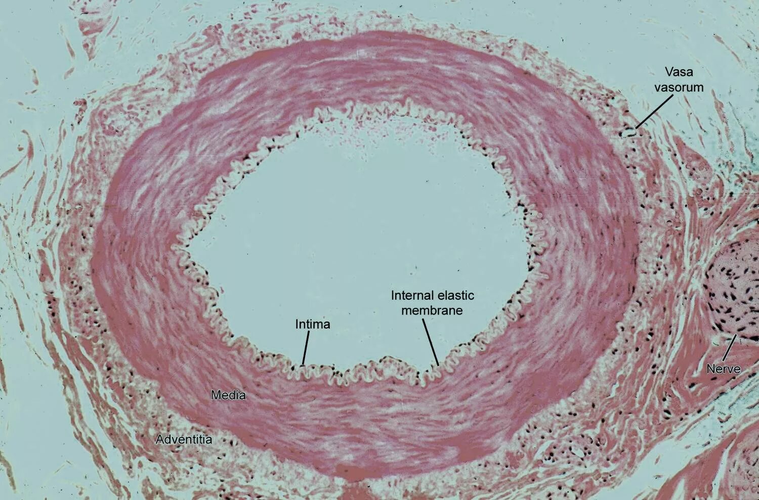
Артерия гистология препарат