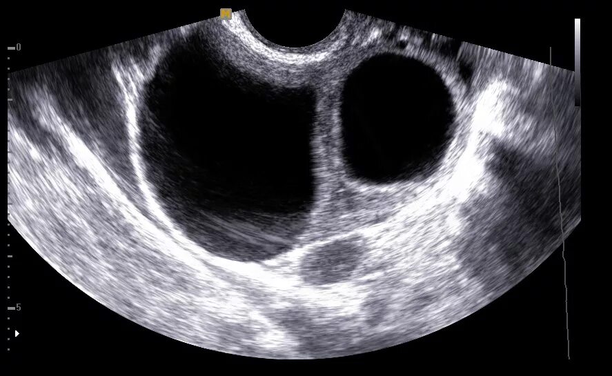
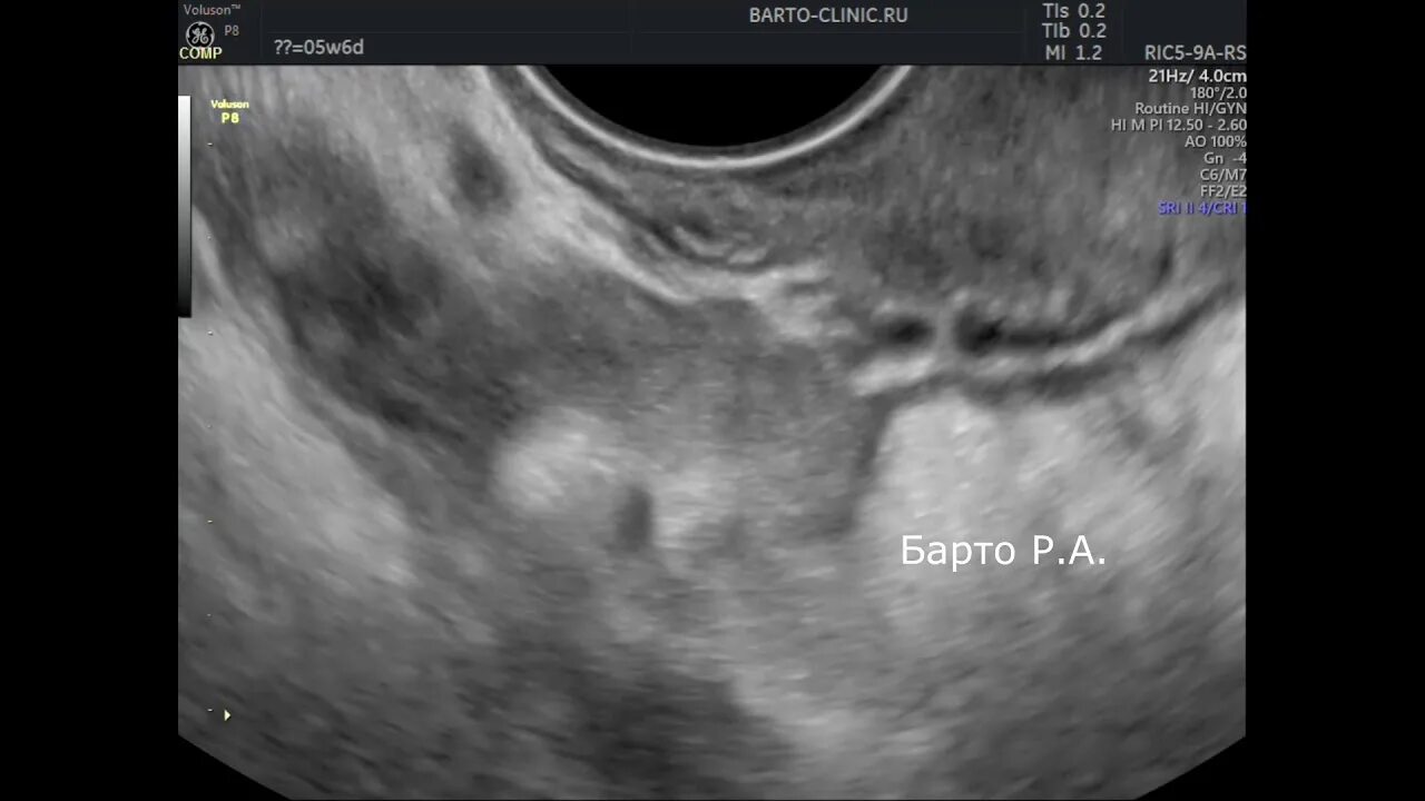
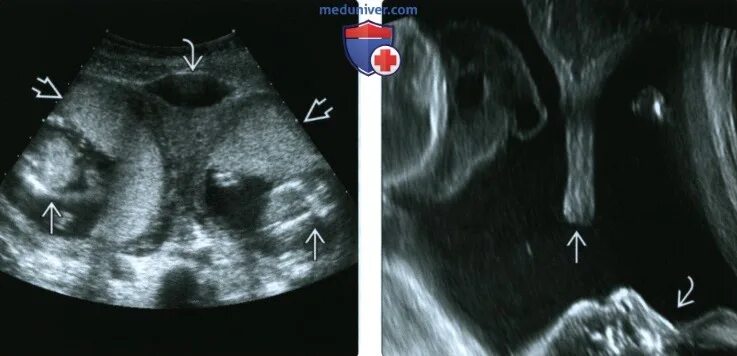
Аномальная беременность