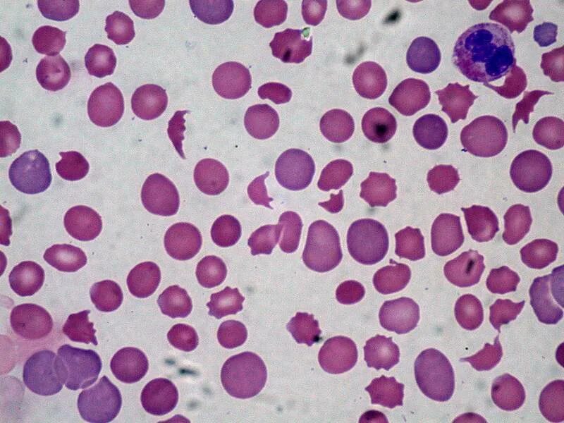
Анизоцитоза эритроцитов повышен у кошки