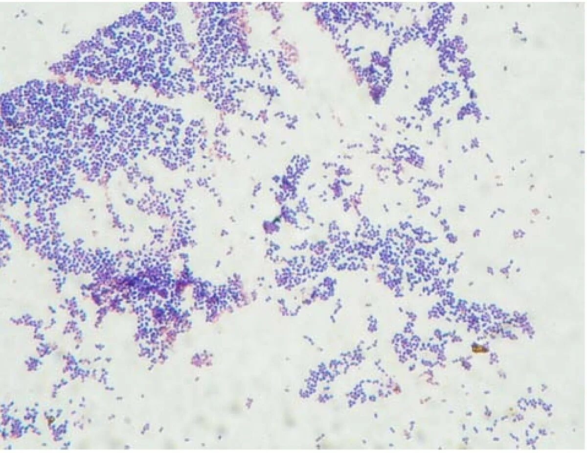
Anaerococcus spp