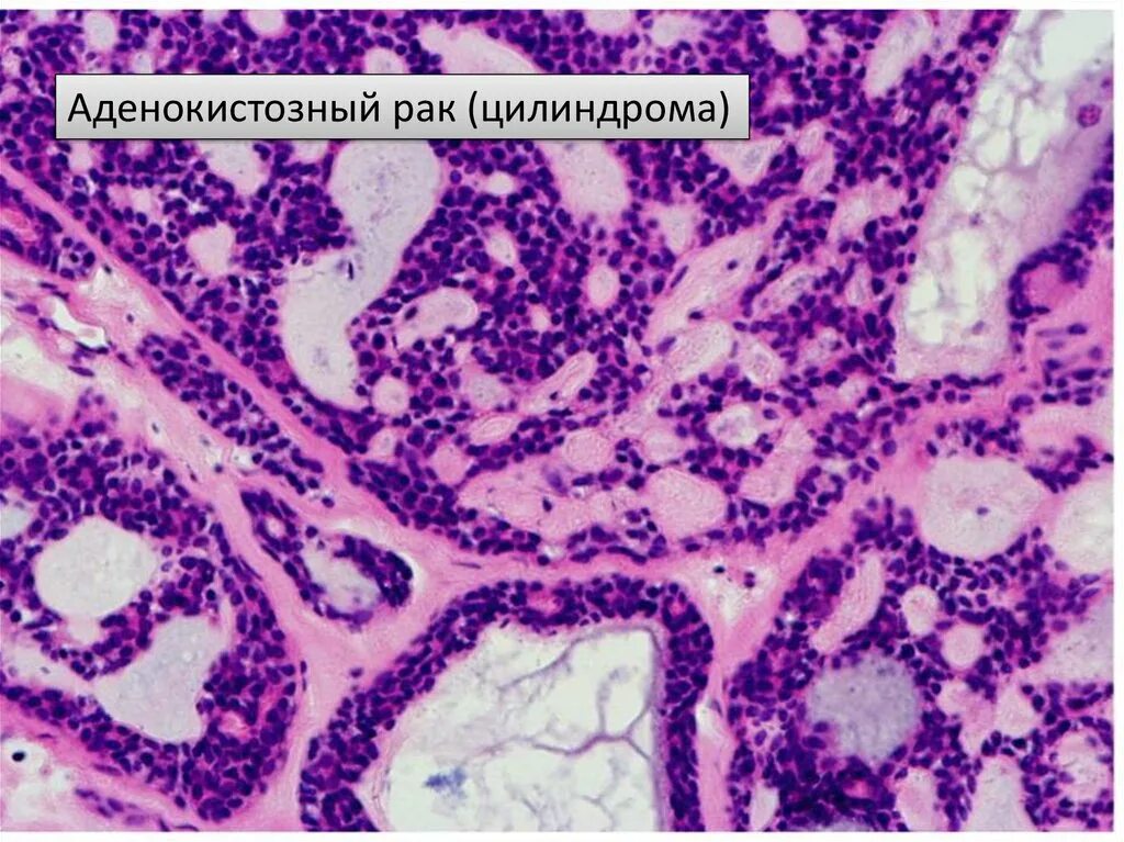
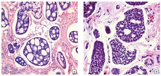
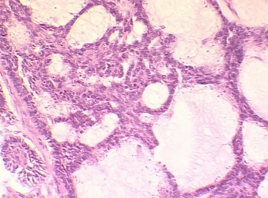
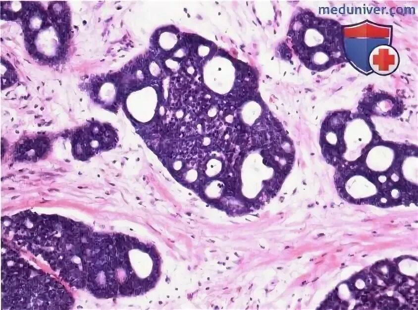
Аденокистозный рак слюнных желез