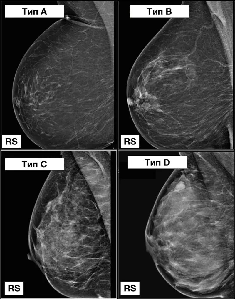
Acr тип b