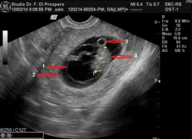
9 5 неделя беременности